Acute traumatic aortic disruption
Definition
Acute thoracic aortic injury (TAI) is rupture of all or part of the aortic wall, usually occurring as a result of high-impact blunt trauma, such as from motor vehicle collision or fall from a height. TAI results from either blunt or penetrating trauma, occurring most frequently in the descending thoracic aorta. Aortic injury after blunt trauma is commonly referred to as blunt thoracic aortic injury (BTAI), and the severity of injury is reported with a grading system consisting of I to IV. For this chapter, BTAI will be used per its adoption by the Aortic Trauma Foundation.
Historical note
The lethal nature of acute traumatic aortic disruption had been recognized for centuries and was noted by Strassman in 1947. Data supporting the lethality of traumatic disruption and temporal relationships between trauma and subsequent death were delineated by Parmley and colleagues in 1958. The first report of successful repair of traumatic disruption of the thoracic aorta apparently was by Dshanelidze in 1923 (cited by Clarke and colleagues ). In 1957, Gerbode and colleagues reported successful repair of such an injury, as did Klassen and colleagues in 1958 (according to Passaro and Pace and Vasko and colleagues ). In 1998, Kato and colleagues at Stanford University reported successful treatment of three patients with acute traumatic aortic disruption using endovascular stent-grafts constructed from modified Z stents covered with woven polyester or expanded polytetrafluoroethylene (PTFE) graft material and deployed through a delivery sheath from a peripheral artery.
Morphology and epidemiology
BTAI is the second-most common cause of death from blunt trauma. Death at the scene is common after aortic injury, as seen in a report by Parmley (85% prehospital mortality). The sudden deceleration associated with BTAI creates shear forces between the relatively mobile aortic arch and the adjacent fixed descending thoracic aorta. BTAI includes a spectrum of injuries that can range from intimal tear to free rupture. Its most common mechanisms include motor vehicle accidents (78%), followed by motorcycle crashes (9%), automobile versus pedestrian crashes (7%), falls (5%), bicycle crashes (1%), and sporting injury (parachute, 1 patient). ,
Although the entire aorta, from the root to the aortic bifurcation, is susceptible to BTAI, the greatest point of strain is at the aortic isthmus. Parmley and colleagues reported that 50% to 71% of lesions occur at the isthmus, 18% in the ascending aorta, and 14% in the distal aorta at the level of the diaphragm ( Fig. 24.1 ).
The entire aorta is susceptible to BTAI. However, the greatest point of strain is at the aortic isthmus.
In contrast to BTAI, penetrating injuries to the ascending thoracic aorta are commonly caused by stab wounds. Gunshot wounds, on the other hand, can cause injury to any portion of the aorta but, more commonly, involve the descending thoracic aorta. Most patients with penetrating injuries present with hemodynamic instability and require emergent repair of the aortic tear and other associated injuries. Hemodynamic instability may only be present in half the BTAI patients upon arrival. In addition, associated injuries, such as head, pulmonary, abdominal solid organ, and skeletal, are common and should be investigated.
Mechanisms of injury
Multiple theories attempt to elucidate the mechanism of injury at the isthmus. One is that the intrinsically weak isthmus is thought to be a transition zone between the more mobile aortic arch and relatively fixed descending thoracic aorta, which allows for stretching and tissue disruption with rapid deceleration. Another theory, described by Crass and colleagues, called “osseous pinch,” hypothesizes that aortic rupture is due to entrapment of the aorta between the anterior thoracic bony structures and the vertebral column. This mechanistic theory was also supported by a subsequent study that analyzed computed tomography (CT) scans of 22 patients with surgically or angiographically proven TAI and used the osseous pinch mechanism to accurately predict the location of the aortic injury in all 22 patients. Water-hammer effect is another theory proposed by Symbas, which states that when the flow of a noncompressible fluid is suddenly obstructed, a high-pressure reflected wave is generated. If, during vehicle impact, the aorta is suddenly occluded at the diaphragm, then a reflected wave would be generated. The pulse pressure generated by this reflected wave would be greatest at the aortic arch because of the curvature reflection and further intensification. Regardless of which hypothesis best explains the mechanism, it seems the most likely explanation is that multiple forces, including shear, torsion, and stretch—combined with hydrostatic forces—cause BTAI ( Fig. 24.2 ).
Multiple forces cause BTAI, including shear, torsion, and stretch—combined with hydrostatic forces.
Although the acceleration-deceleration mechanism accounts for most BTAIs, later impact may be responsible in 25% of cases. Previous work performed by the Crash Injury Research Engineering Network (CIREN) has also demonstrated that intra-aortic pressures sustained may reach as much as 1300 mmHg by computer modeling using finite element analysis.
Altitude at the time of the injury is also hypothesized to affect the development and progression of TAI. High altitudes cases are associated with tachycardia, increased blood pressure, and hypoxia, which could all negatively affect trauma patients. A recent study by Jarvis reviewed 8562 patients with blunt trauma with chest or abdominal injury. They reported that patients who received blunt trauma at high altitudes (>5000 feet above sea level) were more than twice as likely to suffer from a TAI as patients whose injury occurred at low altitudes (<5000 feet).
Disruptions can occur in the lower thoracic aorta (often in association with spinal fractures) and in the aortic arch and abdominal aorta. ,
Classifications
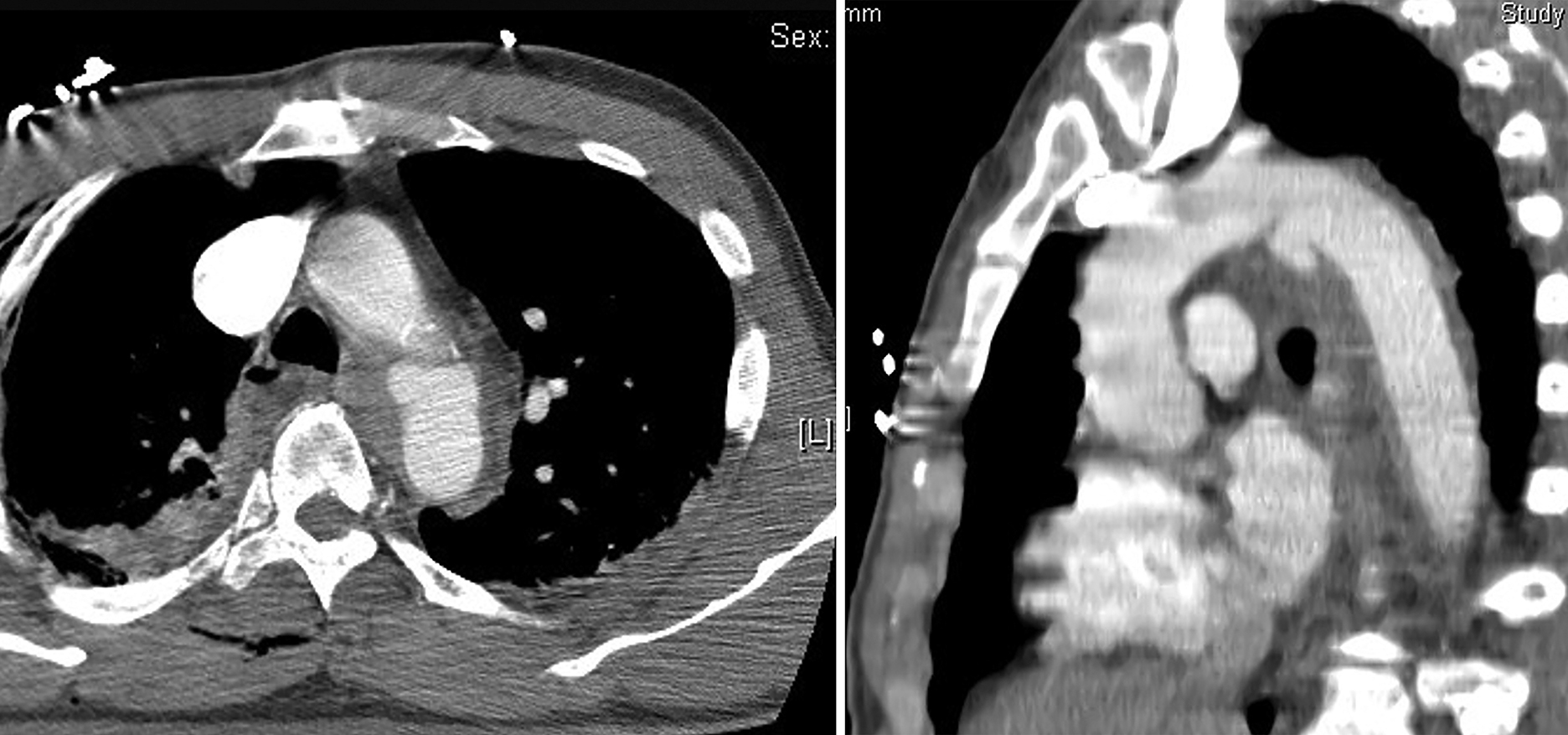
Although a pathologic classification of TAI was proposed in the 1950s, advancements in imaging techniques and increasing use of computed tomography angiography (CTA) for diagnosis have made identifying BTAI much easier, especially with regard to recognition of “minimal aortic injuries,” as discussed by Malhotra and colleagues. We proposed a grading system for TAI that is based on the extent of injury to the anatomic layers of the aortic wall, as seen on CTA. Based on severity, TAI is divided into four categories: grade I injuries present with an intimal tear; grade II have an intramural hematoma; grade III have an aortic pseudoaneurysm; and grade IV have free rupture of the aorta. This grading system was later adopted by the Society for Vascular Surgery (SVS) in 2011. Accurate grading of BTAI is of great importance because it affects management decisions, outcomes, and overall mortality ( Fig. 24.3 ). ,
Classification of TAI adopted by the Society for Vascular Surgery in 2011: grade I injuries present with an intimal tear; grade II have an intramural hematoma; grade III have an aortic pseudoaneurysm; and grade IV have free rupture of the aorta.
Clinical features and diagnostic criteria
Pathophysiology
When complete disruption occurs that includes the investing mediastinal pleura or pericardium, hemorrhage is free and exsanguinating, and death occurs instantly or within a few minutes. When the tear involves all layers of the aortic wall but the mediastinal pleura remains intact, a large amount of blood escapes into the retropleural tissues, and signs and symptoms of hemorrhagic shock appear. Usually, under such circumstances, some blood or plasma passes through the mediastinal pleura to produce a left hemothorax or pleural fluid collection. When the adventitia of the aorta remains essentially intact, a smaller extravasation of blood occurs, and the mediastinal hematoma is less extensive. The aortic adventitia is more likely to remain intact when the tear does not involve the entire circumference of the aortic wall.
Clinical features
Persons with acute traumatic aortic disruptions frequently have other severe injuries, including liver and spleen lacerations with intraabdominal hemorrhage and head injuries. Such injuries have clinical features and diagnostic criteria that may affect management of the aortic injury. No individual symptom or clinical sign can accurately diagnose (or rule out) BTAI. On physical examination, findings associated with significant chest trauma may include steering wheel imprint or seatbelt sign with blunt mechanisms ( Fig. 24.4 ).
Examination findings associated with significant chest trauma may include steering wheel imprint or seatbelt sign with blunt mechanisms.
A high index of suspicion, due to the mechanism of injury (such as associated injuries, degree of damage to vehicle encountered, or estimated speed of collisions), is the only reliable clinical data point that can lead to adequate imaging for the diagnosis of BTAI. The most common presenting symptom is interscapular or retrosternal pain, but it is seen in only one-fourth of patients because many have associated closed head injury or other factors that make a clinical diagnosis difficult.
Acute rupture, or expansion of the hematoma associated with BTAI, usually presents with worsening, mid-scapular back pain, unexplained hypotension, upper extremity hypertension, bilateral femoral pulse deficits, or initial chest tube output in excess of 800 mL.
Evidence of impaired blood flow beyond the disruption is uncommon. However, a small number of patients with acute disruption of the descending thoracic aorta who reach the hospital alive have paraplegia or paraparesis (2.6%; CL 2.2%–3.0%, of the 1742 patients in the meta-analysis of von Oppell and colleagues ). Rarely, patients have severe lower body and leg ischemia.
Diagnostic imaging
Chest radiography.
The chest radiograph is usually abnormal but with variable findings. Radiographic findings of sternal fracture or other bones fractured, such as the scapula, clavicle, first rib, or multiple left-sided ribs, are suggestive of high-impact blunt trauma, which may result in BTAI. Other findings include a wide mediastinum (supine on chest X-ray (CXR) >8 cm; upright CXR >6 cm), which has a sensitivity of 81% to 100% and a specificity of 60%. Left “apical cap” (i.e., pleural blood above the apex of the left lung), obscured and indistinct or enlarged aortic knob, abnormal aortic arch contour, displacement of the left mainstem bronchus, nasogastric tube deviation, and deviation of trachea rightward and/or right mainstem bronchus downward are all clues that suggest TAI on chest radiograph. Ho and colleagues found that the radiologists’ overall impression of the mediastinum on plain chest film, rather than any one measurement, is a more sensitive predictor of TAI than any other sign.
Computed tomography.
Computed tomography angiography (CTA) is an essential screening test and is considered the “gold standard” diagnostic imaging modality to detect aortic injury in patients with trauma. CTA of the entire body takes only 5 minutes. Thus, in patients who are hemodynamically stable, especially after high-impact BTAI, CTA is highly recommended. CTA has largely replaced conventional angiography and transesophageal echocardiography (TEE) as the screening modality of choice for the diagnosis of TAI in hemodynamically stable patients due to its availability, high sensitivity, and relatively rapid and less-invasive nature. At many trauma centers, CTA of the thorax is usually integrated into a whole-body CT “trauma pan-scan,” an approach that has been shown to improve survival and reduce imaging time. The reported sensitivity of CTA is between 86% to 100%, with specificity of 40% to 100% and negative predictive value of 85% to 100%, , indicating that few patients with TAI will be missed. Unfortunately, false positives, or patients diagnosed with TAI based on CTA who do not actually have an aortic injury, can be high with this test (with specificity as low as 40% and positive predictive value as high as 15%) ( Fig. 24.5 ). Confirmatory tests with high specificity, such as aortography, intravascular ultrasound (IVUS), or TEE, may be necessary in patients with an equivocal diagnosis. , , ,
While considered the “gold standard” in imaging for TAI, CTA can produce false positives, with specificity as low as 40% and positive predictive value as high as 15%.
The CTA findings of TAI can be divided into direct signs of injury and indirect or associated findings. Direct findings of an aortic injury noted on CTA include the presence of an intimal flap, an intramural hematoma, a pseudoaneurysm, and active extravasation of contrast media. Injuries that only involve the intima, classified radiologically as minimal aortic injuries, should only have direct findings of TAI. Minimal aortic injuries can present with an intimal flap, an intraluminal aortic thrombus, or an intramural hematoma. With the improvement in technology allowing thinner CT slice thickness, minimal aortic injuries are being diagnosed more frequently. More severe injuries often have both direct and indirect findings of TAI. Indirect signs include the presence of a periaortic hematoma, change in aortic caliber, and irregular aortic contour. Direct signs of aortic injuries were more accurate diagnostically than indirect signs.
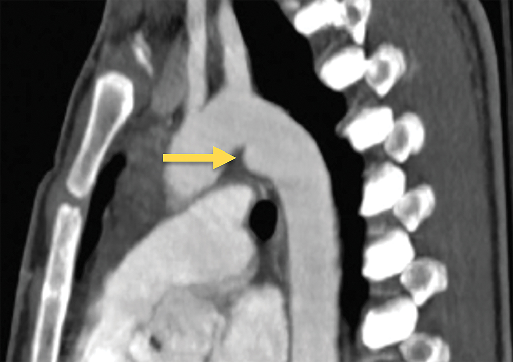
Multiple normal anatomic variants and conditions can mimic an acute TAI. Ductal remnants, a diverticulum or small bump, are normal remnants of the embryologic ductus arteriosus. Ductal remnants are typically smooth-walled and have obtuse margins that are continuous with the aortic wall and are often calcified ( Fig. 24.6 ).
Multiple anatomic variants can mimic an acute TAI. Ductal remnants, a diverticulum or small bump, are normal remnants of the embryologic ductus arteriosus. Typically smooth walled, ductal remnants (arrow) have obtuse margins that are continuous with the aortic wall and often calcified.
In contrast, the typical pseudoaneurysm forms an irregular outpouching from the lumen, displaying acute margins and intimal irregularity at its base. Another variant that might mimic aortic injury is the aortic spindle, which is a narrow and dilated area of the aorta between the left subclavian and the ductus arteriosus. Infundibula can have a similar appearance to a ductal remnant but are found at the origin of bronchial or intercostal arteries and can also be confused with a small pseudoaneurysm. Infundibula are typically cone-shaped and smooth-walled, with a small artery extending from the apex. However, in all these normal variants, the contour is smooth and regular without intimal irregularities. If a definitive diagnosis is in question, other specific imaging modalities, such as TEE, are helpful to eliminate any confusion and confirm the diagnosis.
Transesophageal echocardiography.
TEE provides another means to evaluate the thoracic aorta—and may be most useful for hemodynamically unstable patients. TEE can be performed to rule out aortic injury or associated cardiac injuries in the emergency department or the operating room for those patients with indications for immediate surgical intervention. The sensitivity and specificity of TEE are approximately 97%, according to a meta-analysis of studies of TEE in the setting of TAI. Its role is limited in the trauma setting, as a great number of patients have cervical injuries or pending cervical spine clearance. Also, it cannot visualize the entire ascending aorta or major aortic vessels secondary to acoustic shadow from trachea and bronchi, not to mention the need for a specifically trained expert to interpret the results. For these reasons, TEE is rarely used as the first imaging modality of choice to screen TAI.
However, TEE is valuable when a trauma patient has been taken to the operating room without CT, as it allows the team to rule out TAI and evaluate the heart and pericardial effusions during ongoing surgical procedures.
Intravascular ultrasound.
IVUS use in TAI is expanding. It was first developed in the 1960s by Born and colleagues who used a 9 French rotating probe to produce a two-dimensional, real-time image of the coronary vessels and cardiac chambers. Today, it provides real-time, 360-degree imaging of the aorta using a high-frequency (10 MHz) miniature ultrasound probe placed through an 8 to 9 Fr. femoral arterial sheath, , providing excellent detail and extremely valuable positional information ( Fig. 24.7 ).
Intravascular ultrasound provides real-time, 360-degree imaging of the aorta using a high-frequency (10 MHz) miniature ultrasound probe placed through an 8 to 9 Fr. femoral arterial sheath.
In addition to its many other uses, IVUS is useful in the setting of an equivocal CTA in patients with a suspected TAI, especially if administration of contrast media is contraindicated, as it does not require contrast administration or radiation. In a recent study of nearly 8000 trauma admissions, we found that, as a screening test, CTA was useful in detection of traumatic TAI. However, when there were equivocal CTA results, and further imaging was required, IVUS was found to be more sensitive than angiography. Equivocal results were more common with CTA images than with either IVUS or angiography (27% vs. 2.5% or 5%). Its rule is not limited to diagnostic purposes only and has an integral role when intervention is also required. In endovascular repair of TAI (discussed later), IVUS is invaluable in providing diameter measurements, particularly in the critical landing zone areas, and in determining the true length of these areas. Even at the completion of the repair, IVUS can provide real-time useful information. Examples of real-time critical information provided by IVUS post-repair include the detection of wall apposition of the stent-graft, which can often be missed on digital subtraction angiography (DSA), as well as the exact position of the stent-graft with relation to other important anatomical structures, such as left subclavian artery.
Also, when additional imaging is required after an equivocal CTA, IVUS is better than angiography. When aortic injury is subtle, such as very localized small grade I and II BTAI (grading is discussed in “Classifications”), IVUS may be the only modality that can visualize the lesion. Aortic size measured from preoperative CT at the time of arrival to the emergency department is often 2 to 3 mm smaller than the actual aortic size because, at the time of CT imaging, trauma patients are under-resuscitated. ,
The use of IVUS is not without limitations, namely cost. The IVUS console is generally considered capital equipment, and the facility may have budget processes that make such expenditures difficult, including the fact that it may take additional time for the facility to approve the purchase of the IVUS consoles. Also, IVUS catheters are disposable materials intended strictly for one-patient, one-time use. Additionally, physicians, nurses, and technicians just starting to use IVUS will have to work through a learning curve to properly interpret the images generated and maximize the usefulness of the technology. However, the information that it can provide can be invaluable in diagnosis and treatment of TAI.
Magnetic resonance imaging.
Magnetic resonance imaging (MRI) avoids ionizing radiation and iodinated contrast, and although quality images of the aorta can be obtained, it is uncommonly used in the diagnosis of BTAI. One of its major limitations is the relatively long time needed for image acquisition, which renders it inapplicable in acute trauma settings. Also, MRI cannot be used if any metallic objects are present, including those that may have been acquired at the time of the injury (e.g., bullets). MRI may be an excellent tool in patients who are followed nonoperatively with contraindications to CTA, such as patients with renal insufficiency, but it has limited use in the acute traumatic setting.
Aortography.
The use of aortography for the evaluation of traumatic TAI is well established. With a sensitivity of nearly 100%, specificity of more than 98%, and accuracy of more than 99%, it has been considered the “gold standard” examination for decades. The imaging findings associated with traumatic TAI may range from a minimal contour irregularity to frank contrast extravasation. Pseudoaneurysm formation, an intraluminal filling defect, and an intimal irregularity are common findings in vessel wall injury. Although it is a useful and highly sensitive modality, angiography has taken on a therapeutic rather than purely diagnostic role, given the wide utilization of CTA, which is rapid and less invasive. Today, angiograms are more commonly performed in the operating room at the time of definitive repair ( Fig. 24.8 ).
Aortography had been the gold standard for decades, providing sensitivity of nearly 100%, specificity > 98%, and accuracy > 99%. Today, angiography has taken on a therapeutic rather than purely diagnostic role given the wide utilization of CTA.
Natural history
Risk of death, generally from massive intrathoracic hemorrhage, is greatest immediately after the injury ( Fig. 24.9 ). As time passes, the instantaneous risk of death decreases, but the patient remains at risk of death from hemorrhagic shock over the next several days. Shock may be secondary either to initial blood loss into a large mediastinal hematoma or to renewed bleeding into the adventitia and mediastinal pleura as arterial blood pressure rises after the initial period of hypotension. Probability of survival for at least 4 hours after the accident is not improved with certainty by rapid transport from the accident scene to the hospital. About 40% to 50% of persons die within 48 hours of the traumatic event.
Hazard function (deaths · day −1 ), or instantaneous risk of death across time, after acute traumatic aortic disruption. Time zero is time of trauma. Dashed lines enclose 70% CLs. There is an early phase of rapidly falling risk and a constant late phase. The two graphs differ only in the scales of the axes; in (A) the horizontal axis is hours after time zero, and in (B) it is days, and the vertical axis is expanded. The relationships are such that the following are conditional probabilities of survival without treatment:
(Data from Parmley LF, Mattingly TW, Manion WC, Jahnke EJ Jr. Nonpenetrating traumatic injury of the aorta. Circulation . 1958;17:1086-1101.)
| Time after Trauma | Probability (%) of Survival for: | |
| 24 Hours | 7 Days | |
| 0 hours | 74 | 50 |
| 12 hours | 85 | 61 |
| 24 hours | 89 | 66 |
| 2 days | 92 | 73 |
| 3 days | 94 | 77 |
| 4 days | 95 | 80 |
| 5 days | 96 | 82 |
Instantaneous risk of death in surgically untreated patients begins to level off about 7 days after injury. Most patients who survive this long without treatment survive much longer. However, a low constant risk of death from hemorrhage persists because of the propensity of the false aneurysm to rupture even years later. It has been estimated that even after 10 years, 20% of patients with this type of traumatic false aneurysm will die of rupture within the subsequent 5 years. ,
Technique of operation
Preoperative management
When a presumptive diagnosis of acute traumatic aortic disruption or other major vascular injury is made based on an abnormal chest radiograph, hemodynamic monitoring and medical therapy are instituted before diagnostic imaging (CT, TEE, or aortography) is performed. In hemodynamically stable patients, medical therapy should include intravenous (IV) infusion of a vasodilator (usually sodium nitroprusside) to avoid hypertension, limitation of IV fluid infusion once the systolic arterial blood pressure exceeds 90 to 100 mmHg and administration of a β-adrenergic antagonist when heart rate exceeds 80 to 90 beats/min. This therapy should be continued while diagnostic studies and any surgical procedures are performed.
Repair of acute traumatic aortic disruption of upper descending thoracic aorta
Operative strategies.
For decades, open repair of aortic injuries was considered the standard of care. Kato and colleagues published the first case report of endovascular stent graft repair of BTAI in 1997. Since then, thoracic endovascular aortic repair (TEVAR) has become widely adopted as the treatment of choice in TAI in patients with anatomy amenable to endovascular repair. Advances in technology, training, and use of endovascular stents as a treatment modality for BTAI resulted in a rapid shift in management of this injury. TEVAR was initially performed for BTAI starting in 2005 as an off-label indication using the first US Food and Drug Administration (FDA) approved endograft, TAG (W.L. Gore, Flagstaff, AZ). Next-generation devices, such as the Conformable GORE TAG Thoracic Endoprosthesis (W.L. Gore and Medtronic Valiant Thoracic Stent Graft (Medtronic, Santa Rosa, CA), were later approved by the FDA with a specific on-label indication for the treatment of BTAI. In addition, thoracic branch endoprosthesis (Gore TAG Thoracic Branch Endoprosthesis [TBE]) was approved by the FDA for use in May 2022, which allows sparing of the left subclavian artery in zone 2 (proximal landing zone in distal aortic arch with coverage of the left subclavian artery) coverage cases. To develop clinical practice guidelines regarding the management of BTAI, the SVS selected a panel of experts and conducted the largest BTAI systematic review (7768 patients from 139 studies) and meta-analysis of the literature in 2011. Despite the low quality of the evidence, the panel concluded that TEVAR for traumatic TAI is associated with lower mortality compared with open repair or nonoperative management (9%, 19%, and 46%, respectively, P <.01).
In addition to mortality, the risk of spinal cord ischemia (SCI) and end-stage renal disease (ESRD) was higher in open repair compared with endovascular repair and nonoperative management (SCI: 9% open vs. 3% endovascular and 3% nonoperative, P =.01; ESRD: 8% open vs. 5% endovascular and 3% nonoperative, P =.01). As a result, TEVAR has become the treatment of choice for patients with BTAI who are amenable to endovascular repair. Today, the suitability of a patient for endovascular repair is mainly based on anatomical criteria. Non-TEVAR candidates requiring operation undergo conventional open repair.
Anti-impulse blood pressure control with beta-blockade and follow-up CTA in 6 weeks to confirm healing are recommended for grade I injury. Patients with grade II and III injuries are candidates for urgent repair, in concordance with SVS Clinical Practice Guidelines, which suggest urgent TEVAR for grade G II to IV BTAIs). Patients with grade IV injuries are immediately transported to the operating room for emergent repair. In all cases, medical management of blood pressure is performed until definitive repair can be accomplished. ,
Thoracic endovascular aortic repair (TEVAR).
The technique for endovascular repair of TAI has been previously described. In summary, all endovascular procedures are performed under general anesthesia in a hybrid operating room equipped with fixed imaging equipment (Axiom, Siemens Medical, Malvern, Pa) and ceiling-mounted monitors showing the patient’s vital signs. Preoperative cerebrospinal drains are not routinely placed while performing endovascular repair of BTAI due to a very low risk of paraplegia with a limited descending thoracic aortic coverage required in treatment of BTAI. The patient remains in the supine position with the arms tucked to allow lateral angiography unless brachial artery access is required, then the arms are placed at 90-degree angles and prepared and draped in the operating field. Intraoperatively, the abdomen and bilateral groins are prepped in standard fashion. The entire field is covered with iodine-impregnated adhesive wrap. After obtaining percutaneous access in the groin through the common femoral artery using the Seldinger technique, an arch aortogram is performed to confirm the location of injury and further delineate anatomy, especially the cerebrovascular anatomy.
IVUS is used selectively based on the discretion of the surgeon, and is accurate in grading and delineating the morphology, especially with low-grade aortic injuries. Contralateral femoral artery access is obtained percutaneously, if needed, based on the surgeon’s discretion. According to preoperative CT imaging scans, the more suitable (based on diameter, tortuosity, and calcification) iliac artery is selected for device placement. The patient is anticoagulated using a weight-based heparin protocol if there are no contraindications. Otherwise, a smaller dose of heparin (3000-5000 units) is administered. No heparin is given in cases of traumatic head or extensive solid organ injuries.
The thoracic device(s) is selected based on CT image scans, according to manufacturer’s sizing recommendations. Measurements are made based on two-dimensional, thin-cut axial CT scans with IV contrast. The device(s) is/are delivered and deployed using standard technique without any pharmacologic adjunct. The subclavian artery is covered, as needed, to obtain a proximal landing zone or gain better apposition with the lesser curvature of the aortic arch. If it is anatomically feasible to spare the left subclavian artery by using a thoracic branch endoprosthesis, additional access is gained with a long 6 Fr. sheath via left brachial or radial artery. A policy of selective delayed subclavian artery revascularization is maintained when the left subclavian artery is covered. Post-deployment balloon angioplasty is performed selectively when incomplete apposition of the graft at the proximal landing zone is noted. Heparin is reversed using protamine sulfate, and the puncture site is managed using a closure device or manual pressure. Postoperatively, patients return to the shock and trauma ICU and are subsequently discharged after treatment of other associated injuries.
Open repair.
SCI injury resulting in paraplegia or paraparesis is a devastating complication of surgical repair, and the optimal technique for avoiding injury to the spinal cord during open repair remains arguable (see “ Perfusion of the Distal Aorta During Open Repair ” under “Special Situations and Controversies” later in this chapter). In their meta-analysis, von Oppell and colleagues noted that the mean number of patients with acute traumatic aortic disruption admitted to any unspecified center was 2.6 per year (range 0.2-10.7 patients). The centers in most of the reports (39 of 60 with data suitable for analysis) treated fewer than this mean number of patients per year. Thus, annual experience with this condition is limited in all but a few centers. With simple aortic clamping, von Oppell and colleagues found that the earliest reported case of paraplegia occurred after a clamp time of 24 minutes; if the clamp time extended to 34 minutes, cumulative risk of paraplegia increased to 18%. At 60 minutes, risk approached 80%, and at 120 minutes, 100%. In contrast, when distal aortic perfusion was used, the earliest paraplegia occurred after a clamp time of 34 minutes, and risk of paraplegia at 120 minutes was approximately 18% ( P <.0001) ( Fig. 24.10 ).
Risk of paraplegia according to duration (minutes) of aortic clamping in patients undergoing surgical repair of acute traumatic disruption of the descending thoracic aorta. Blue line depicts 137 patients with no augmentation of distal perfusion (simple aortic clamp group). Red line depicts 153 patients with augmentation of distal perfusion. Analyses derived by product limit survival meta-analysis of patients selected from articles published in the English language literature between 1972 and July 1992. Shaded areas indicate 1 standard error bands. (*Clamp time [31 minutes] of earliest evident difference between the two groups [ P <.05; Fisher’s exact test]; ** P <.00001 cumulative risk for augmented distal perfusion group compared with simple aortic clamp group [Mantel-Cox].)
(From von Oppell UO, Dunne TT, De Groot MK, Zilla P. Traumatic aortic rupture: twenty-year metaanalysis of mortality and risk of paraplegia. Ann Thorac Surg . 1994;58:585-593.)
A comparable protective effect of distal aortic perfusion was demonstrated in a subsequent meta-analysis by Jahromi and colleagues and in a single institution by Katz and colleagues. Taken together, these findings strongly suggest that distal aortic perfusion, achieved either by partial cardiopulmonary bypass (CPB) and mild hypothermia or by left atrial–to–distal arterial bypass, should be used for most patients with acute traumatic aortic disruption undergoing open repair. Simple aortic clamping should be reserved for patients in whom anticipated clamp time is less than 20 to 25 minutes (although this is not always predictable) and for patients with life-threatening hemorrhage. , ,
An arterial catheter is inserted in the patient’s right arm to monitor blood pressure; nasopharyngeal and bladder or rectal thermistors are placed for temperature measurement. If not already in place, a Swan-Ganz catheter is inserted for measurement of pulmonary artery pressure and cardiac output. A double-lumen endotracheal tube is inserted whenever possible. At least one large-bore needle must be securely in position in a peripheral vein. The patient is placed in a right lateral decubitus position but with hips rolled back toward a supine position so that the left femoral vessels are accessible. Facilities are organized for aspirating shed blood from the thorax in a sterile manner, washing and compacting red blood cells, and rapidly returning them to the patient.
If the patient is stable, the femoral artery and vein are either exposed for direct cannulation or guidewires are passed into each vessel for percutaneous cannulation. Since the possibility exists for massive bleeding during initial dissection, it is advisable to heparinize and cannulate the femoral artery and vein in preparation for CPB before making the thoracotomy. Bypass is initiated just before clamping, or at any time if hemodynamics are threatened by ongoing bleeding. During the period of CPB, the anesthesiologist works closely with the perfusionist to control venous drainage such that there remains effective ejection and cerebral perfusion while the aorta is clamped (see later section under “ Special Situations and Controversies ”).
A left posterolateral incision is made, and the thorax is entered through either the fourth intercostal space or the bed of the resected fifth rib. The rib spreader is positioned and opened in stages over several minutes, and the opening into the thorax anteriorly and posteriorly is lengthened with scissors. As soon as the rib spreader has been partially opened, unclotted blood and clots are removed from the thorax, taking great care not to exacerbate the bleeding by disturbing the mediastinal hematoma. Usually, there is no active bleeding into the pleural space (persons with such bleeding usually have not survived to this point), but if it is occurring, immediate control is obtained by digital pressure.
Once the rib spreader has been positioned, the lung is covered with a moist laparotomy pad and retracted anteriorly with a malleable retractor held by an assistant. The mediastinal pleura is still undisturbed, and at this point, a decision is made about the technique that will be used for spinal cord protection during aortic clamping (see previous text and “ Perfusion of the Distal Aorta During Open Repair ” under “Special Situations and Controversies” later in this chapter). A synthetic aortic tube graft is then selected, as are clamps for aortic control. A few stay sutures are placed along the mediastinum behind the hilum of the lung and held anteriorly by clamps, which replace the malleable retractor.
The mediastinal pleura is opened adjacent to the hematoma at three points: (1) over the mid-descending thoracic aorta, (2) over the aortic arch, and (3) over the left subclavian artery (Fig. 24.11 A-B). Dissection is carried around the aorta and subclavian artery at these three sites so that clamps can be placed. Tapes can be placed around the vessels, but they are usually not necessary. If accessible, the vagus nerve—identified as it descends over the aorta—is protected. When the hematoma is small and general condition of the patient is good, dissection is carried along the anterior surface of the aorta toward (but not into) the hematoma from below, and down the aortic arch and the subclavian artery from above. The aortic arch is usually dissected circumferentially between the left carotid and left subclavian arteries (see Fig. 24.11 A-B).
Repair of acute traumatic disruption of descending thoracic aorta. (A) Appearance of mediastinum at left thoracotomy. Subpleural hematoma distorts aorta in region of ligamentum arteriosum. Initial steps of retracting left lung, identifying and isolating left vagus and left recurrent laryngeal nerves, and making small incisions in mediastinal pleura (black ovals) for later clamp placement are shown. (B) Initial stages of dissection. Mediastinal pleura is incised adjacent to hematoma over aortic arch proximal to left subclavian artery, over origin of left subclavian artery, and over descending aorta. (C) Dissection is continued around the aorta and left subclavian artery in these locations, and clamps are placed first on the proximal aorta between the left carotid and left subclavian artery then on the left subclavian artery, and finally on the distal aorta. Pleura over mediastinal hematoma is incised, and hematoma is removed. (D) Aortic clamps are repositioned, wherever possible, to locations just above and below area of disruption to permit perfusion of subclavian artery and as many pairs of intercostal arteries as possible. Bleeding from intercostal arteries closest to the aortic tear is controlled with bulldog clamps. (E) If tear is incomplete, aorta can be repaired by direct suture. (F-G) In most cases, a woven polyester tube graft is sutured to proximal and then distal aorta.
